drg.Mega Titti Rahayu
Perkenalkan aku drg. Mega Titti Rahayu. Aku dokter gigi di Gresik, lulusan Kedokteran Gigi Universitas Airlangga (2021), dan mulai praktik sejak itu.
Buat aku, bagian paling bahagia itu saat lihat pasien pulang sambil senyum bahagia karena akhirnya mereka pede sama giginya sendiri.
Aku juga sering berbagi edukasi gigi dan mulut di @dokmeti (Instagram, TikTok, dan Threads) bahas mitos vs fakta, tips merawat kesehatan gigi dan mulut.
Perjalanan Karir
2015 - 2021
Kuliah Universitas Airlangga
2021 - Sekarang
Puskesmas Gresik
2023 - Sekarang
Klink RDC
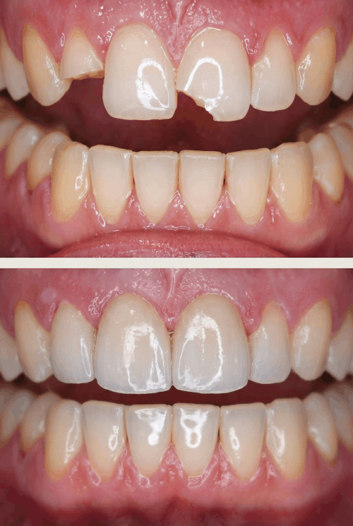
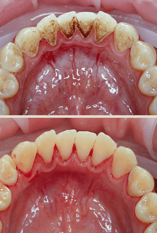
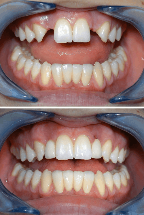
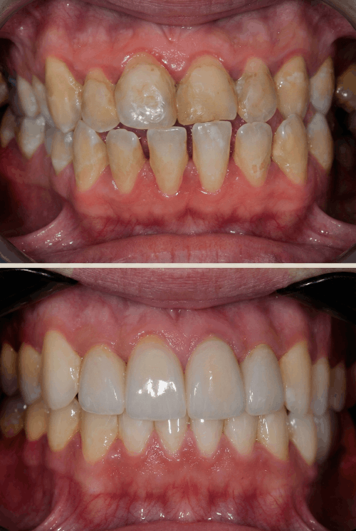
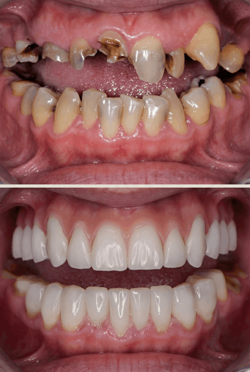
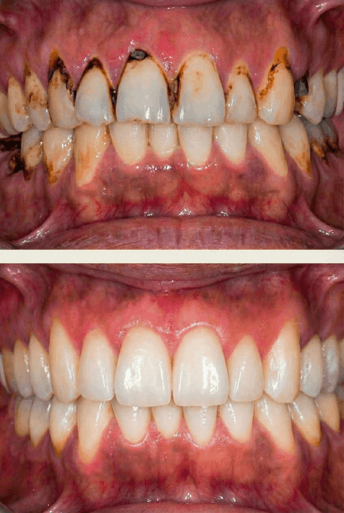
My Work
My Blog























